ホワイトニングの症例
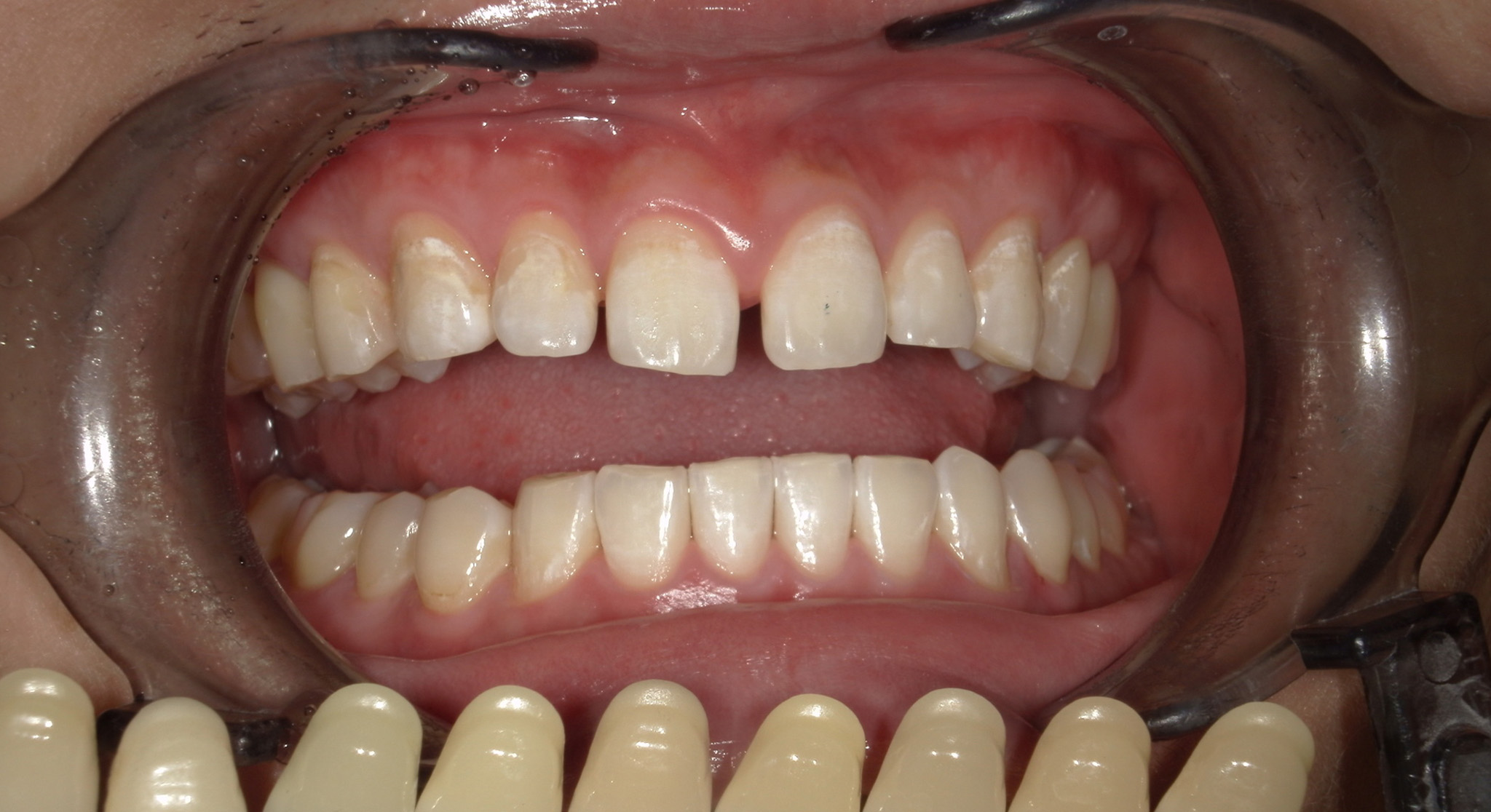
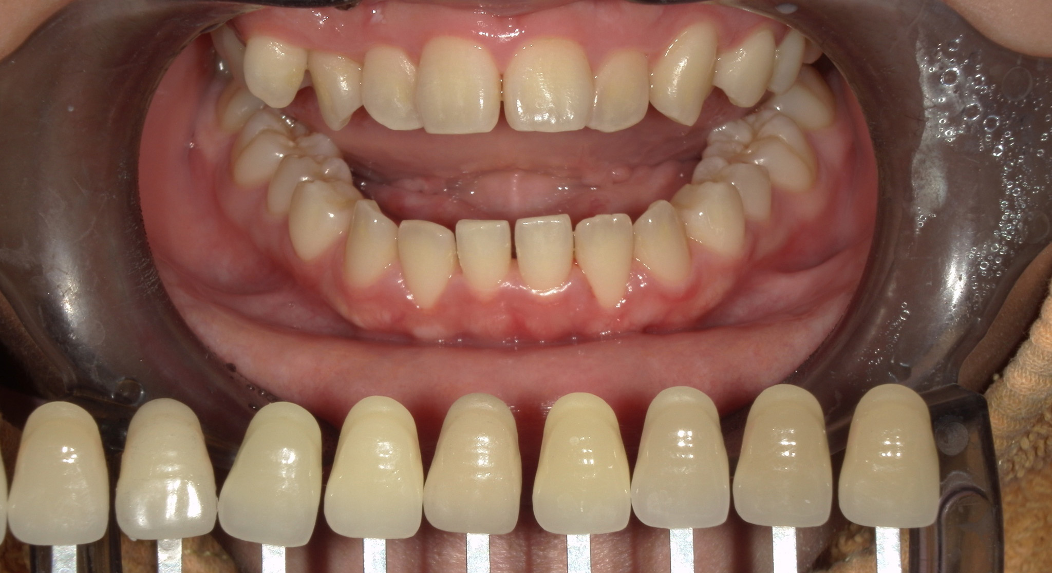
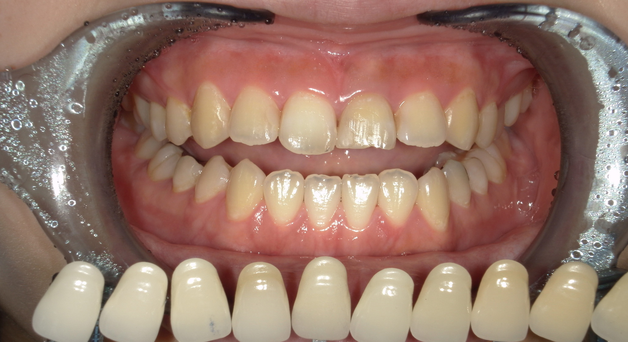
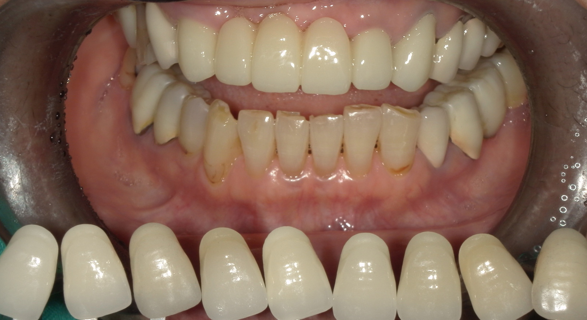
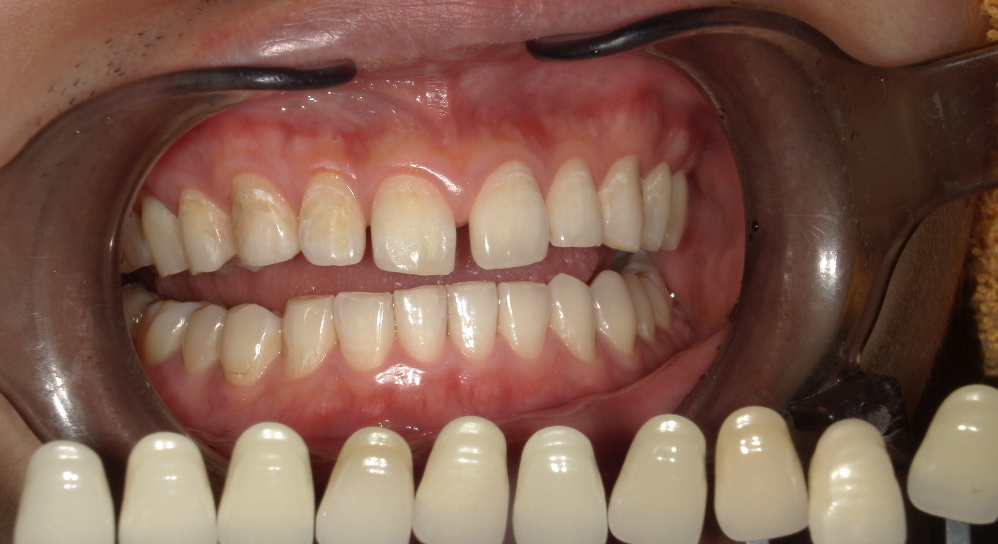
case 1.
術前
術後
| 主訴 | 歯を白くしたい |
|---|---|
| 治療期間 | 1回 |
| 治療費 | 35,000円(税抜) |
| 治療内容 | オフィスホワイトニング |
| 治療の リスク |
知覚過敏 |
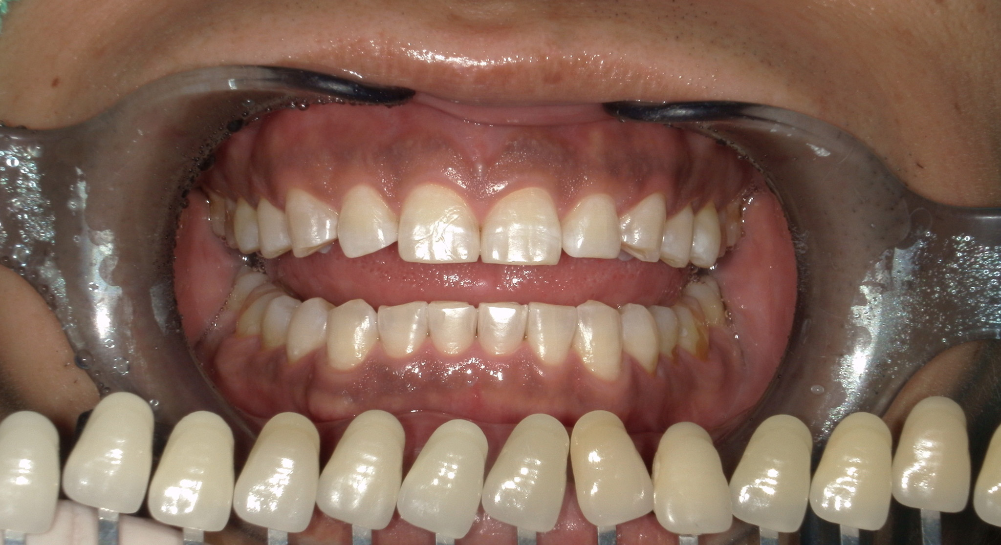
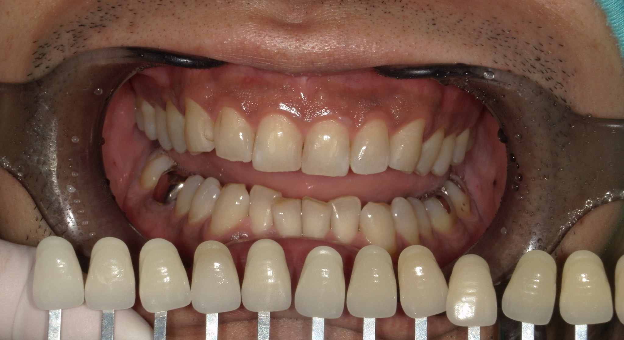
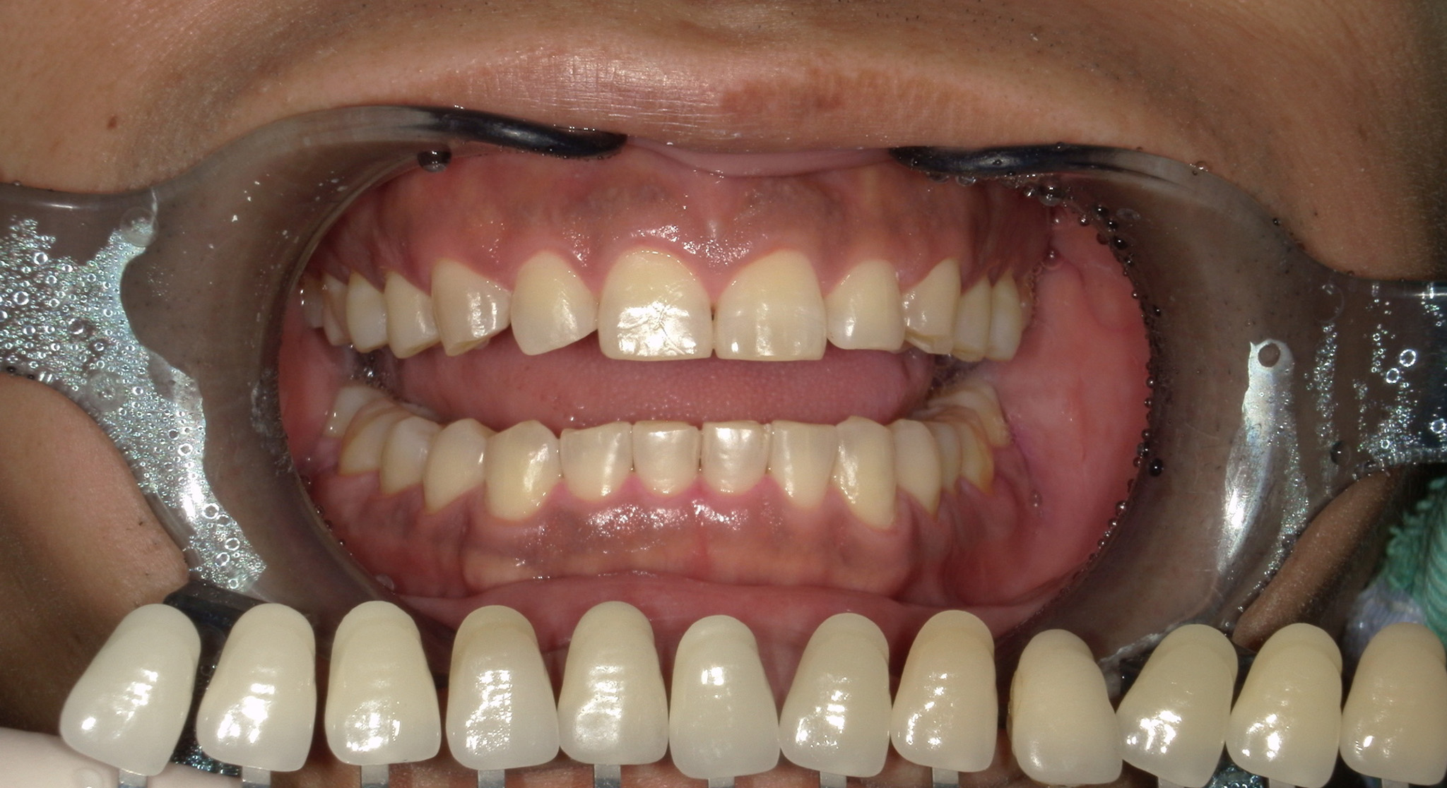
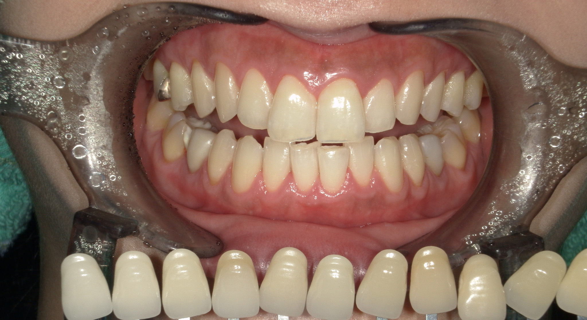
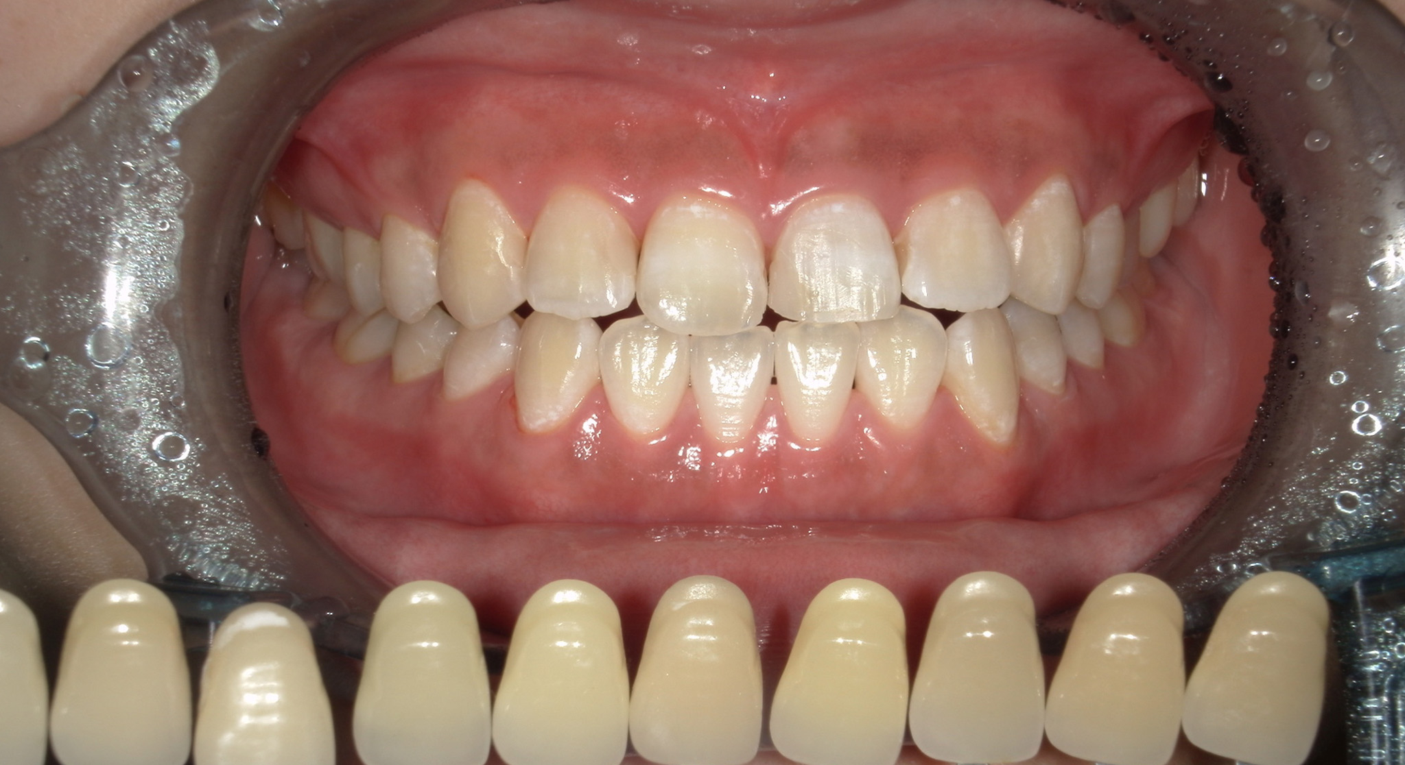
case 2.
術前
術後
| 主訴 | 歯を白くしたい |
|---|---|
| 治療期間 | 1回 |
| 治療費 | 35,000円(税抜) |
| 治療内容 | オフィスホワイトニング |
| 治療の リスク |
知覚過敏 |
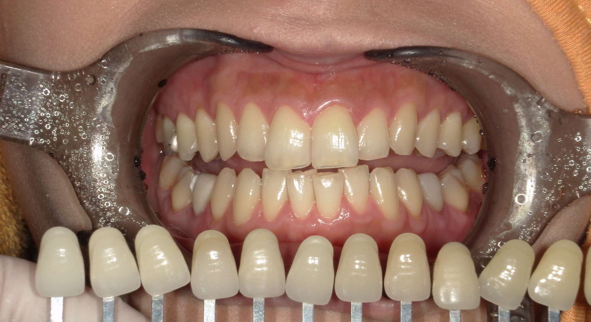
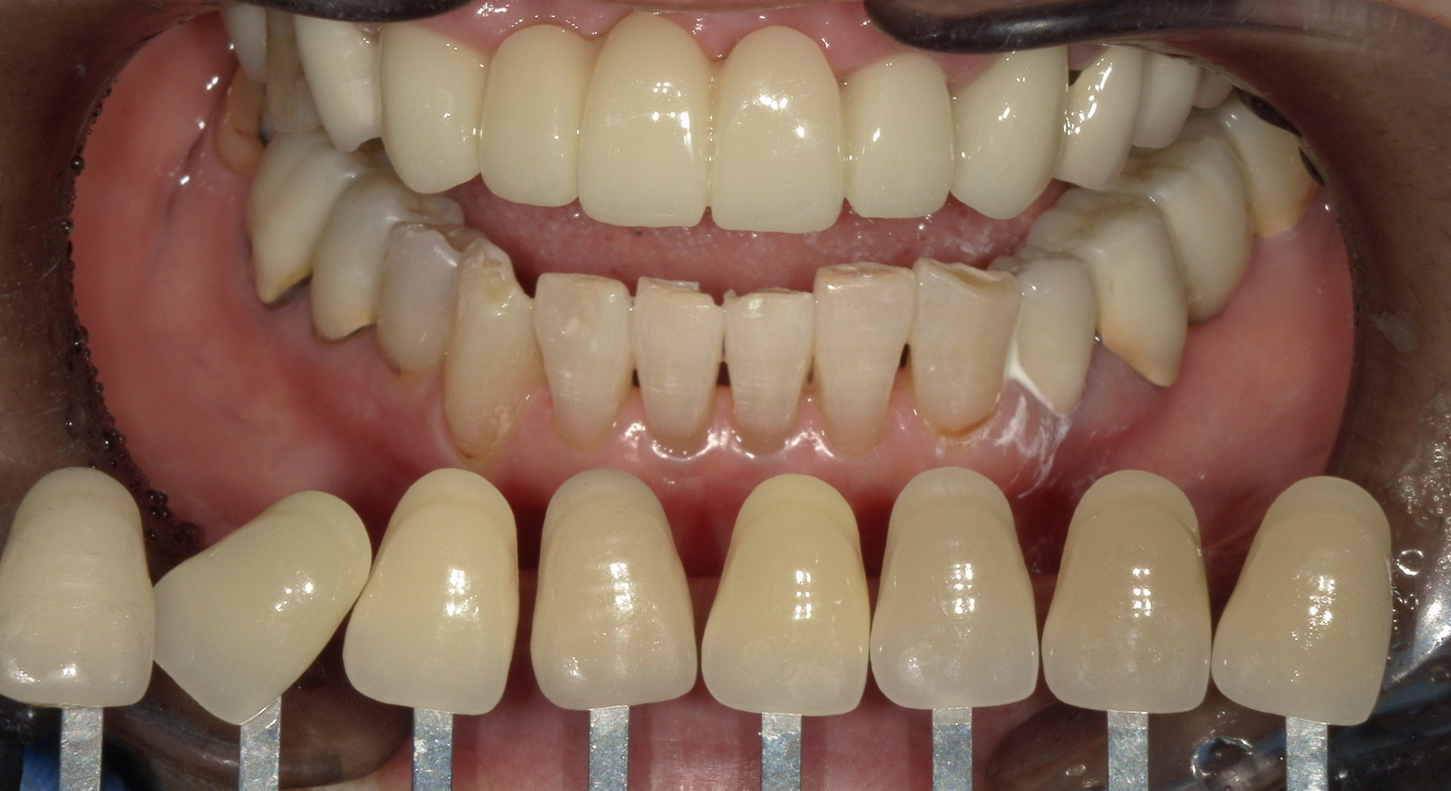
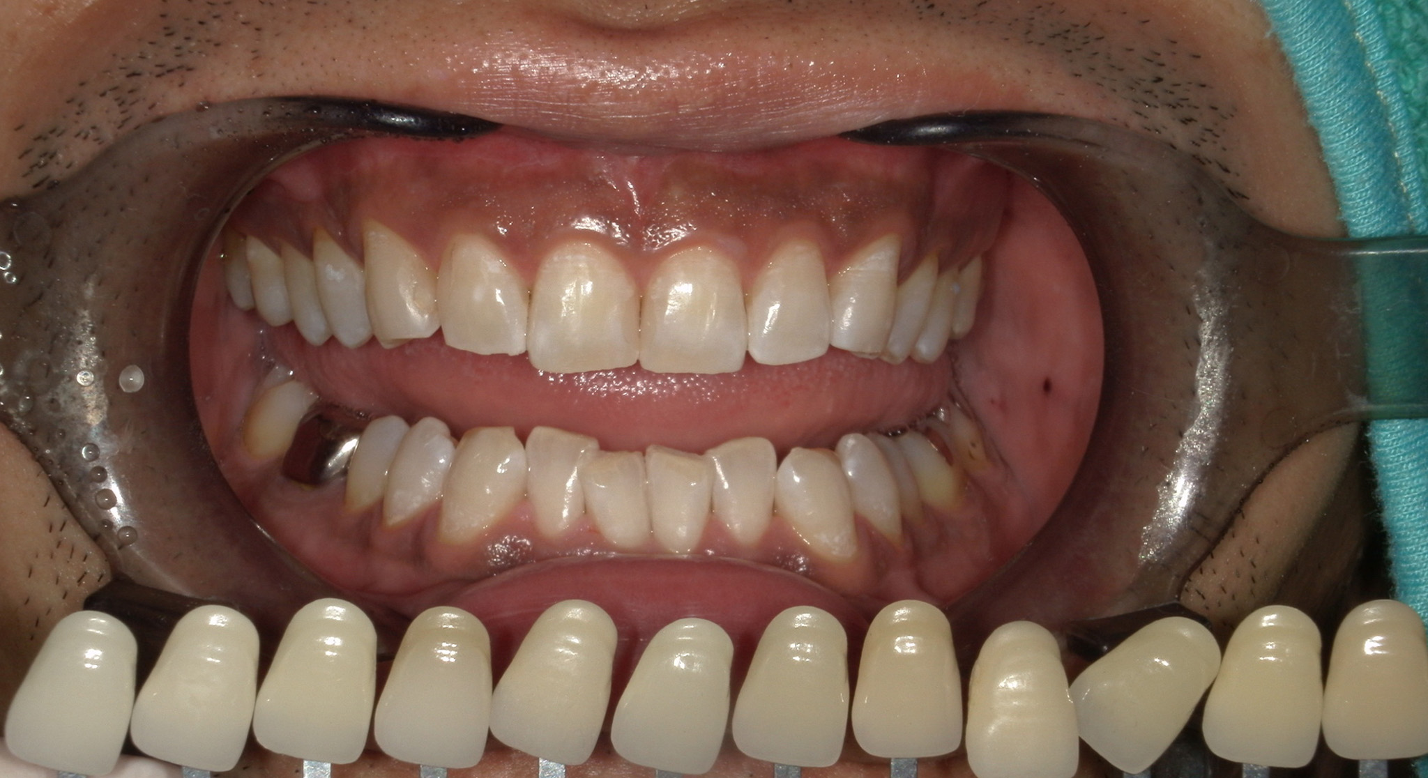
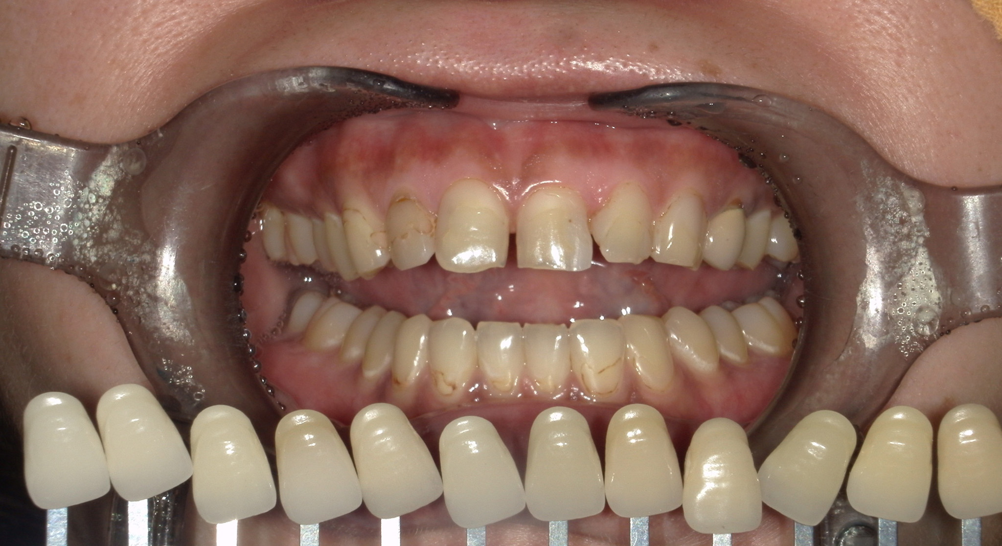
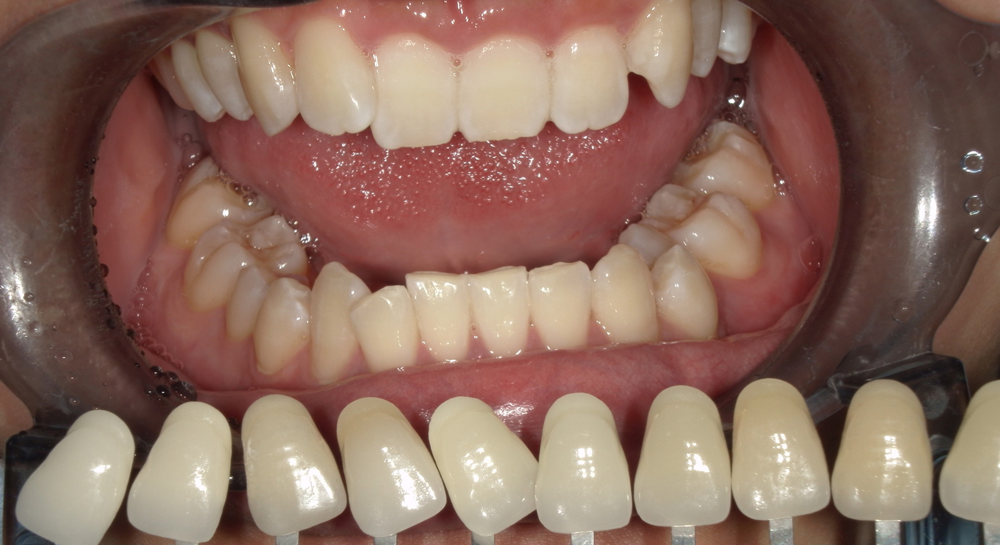
case 3.
治療前
治療後
| 主訴 | 歯の色が気になる |
|---|---|
| 治療期間 | 1時間 |
| 治療費 | 35,000円(税抜) |
| 治療内容 | オフィスホワイトニング |
| 治療の リスク |
知覚過敏 |
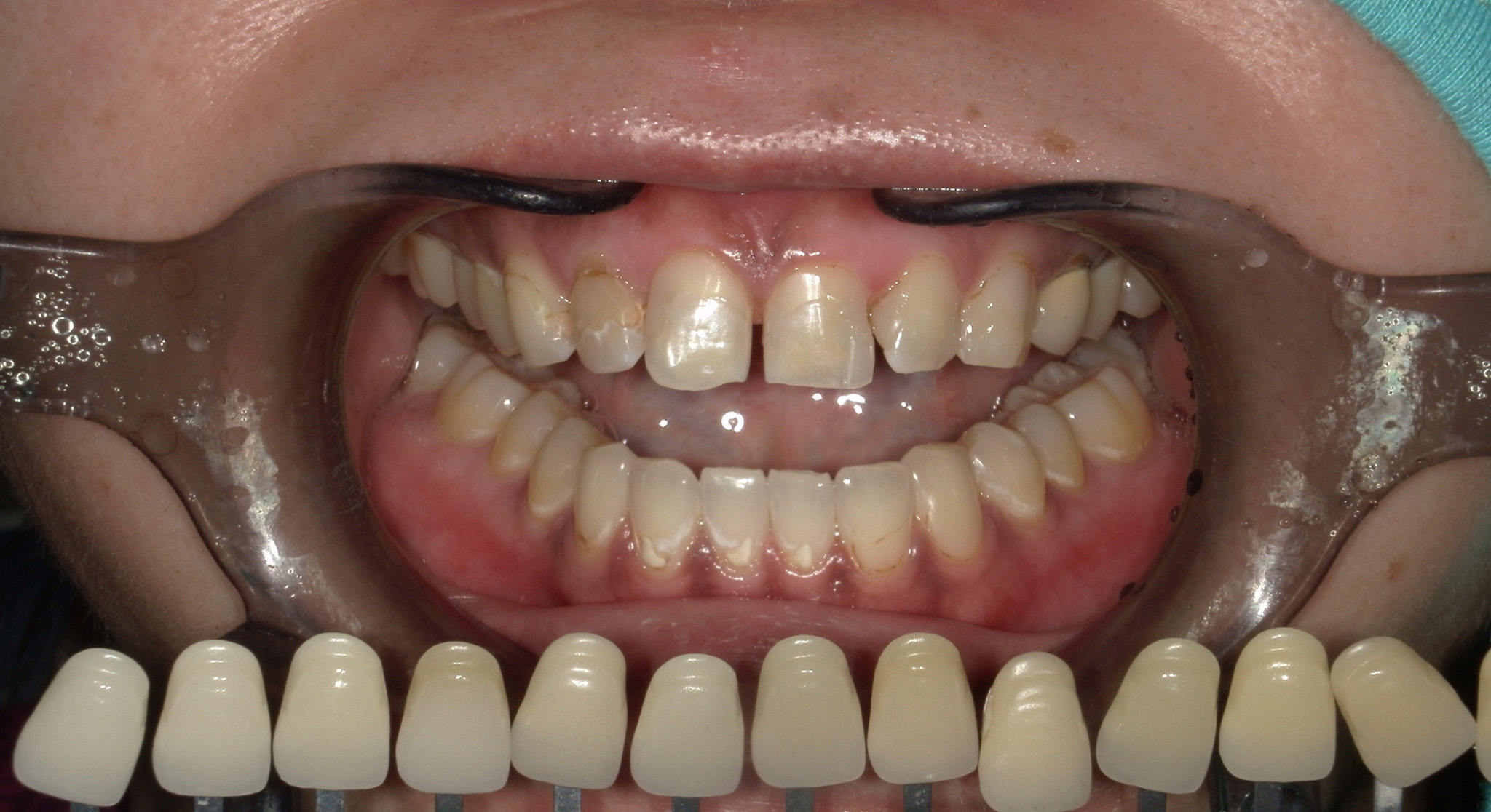
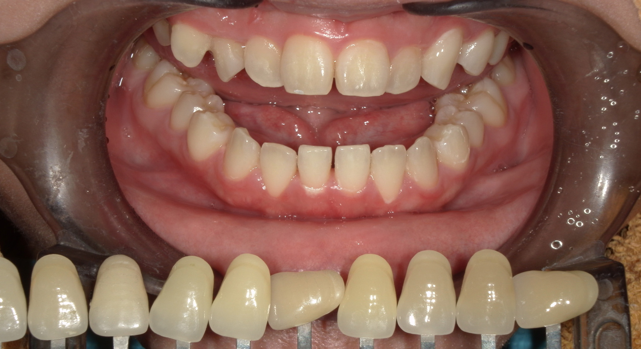
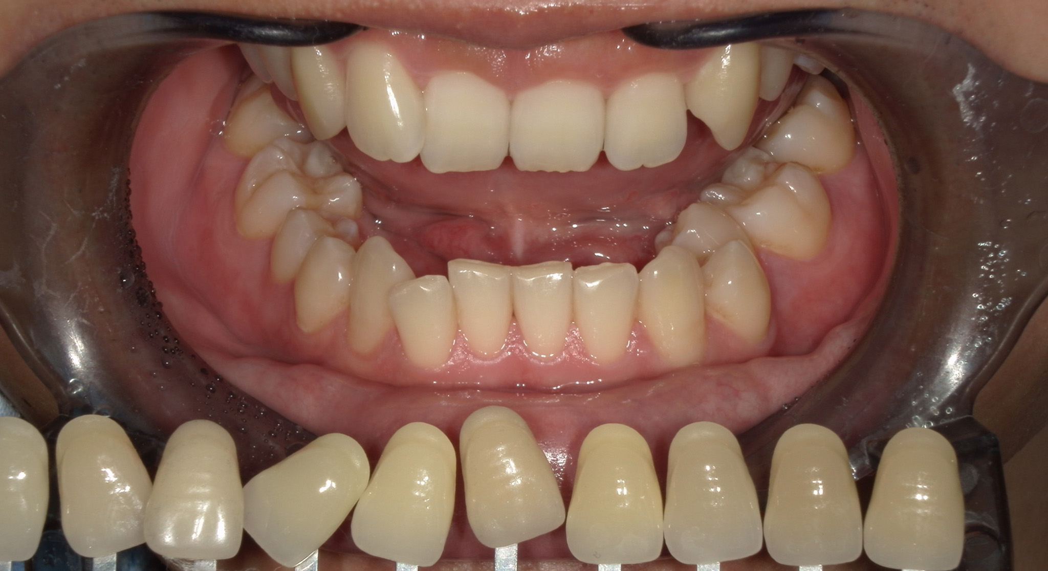
case 4.
治療前
治療後
| 主訴 | 歯の色が気になる |
|---|---|
| 治療期間 | 1時間 |
| 治療費 | 35,000円(税抜) |
| 治療内容 | オフィスホワイトニング |
| 治療の リスク |
知覚過敏 |
case 5.
治療前
治療後
| 主訴 | 歯の色が気になる |
|---|---|
| 治療期間 | 1時間 |
| 治療費 | 35,000円(税抜) |
| 治療内容 | オフィスホワイトニング |
| 治療の リスク |
知覚過敏 |
case 6.
治療前
治療後
| 主訴 | 歯の色が気になる |
|---|---|
| 治療期間 | 1時間 |
| 治療費 | 35,000円(税抜) |
| 治療内容 | オフィスホワイトニング |
| 治療の リスク |
知覚過敏 |
case 7.
治療前
治療後
| 主訴 | 歯の色が気になる |
|---|---|
| 治療期間 | 1時間 |
| 治療費 | 35,000円(税抜) |
| 治療内容 | オフィスホワイトニング |
| 治療の リスク |
知覚過敏 |
case 8.
治療前
治療後
| 主訴 | 歯の色が気になる |
|---|---|
| 治療期間 | 1時間 |
| 治療費 | 35,000円(税抜) |
| 治療内容 | オフィスホワイトニング |
| 治療の リスク |
知覚過敏 |
case 9.
治療前
治療後
| 主訴 | 歯の色が気になる |
|---|---|
| 治療期間 | 1時間 |
| 治療費 | 35,000円(税抜) |
| 治療内容 | オフィスホワイトニング |
| 治療の リスク |
知覚過敏 |
case 10.
治療前
治療後
| 主訴 | 歯の色が気になる |
|---|---|
| 治療期間 | 1時間 |
| 治療費 | 35,000円(税抜) |
| 治療内容 | オフィスホワイトニング |
| 治療の リスク |
知覚過敏 |
case 11.
治療前
治療後
| 主訴 | 歯の色が気になる |
|---|---|
| 治療期間 | 1時間 |
| 治療費 | 35,000円(税抜) |
| 治療内容 | オフィスホワイトニング |
| 治療の リスク |
知覚過敏 |
case 12.
治療前
治療後
| 主訴 | 下の歯の色が気になる |
|---|---|
| 治療期間 | 1時間 |
| 治療費 | 35,000円(税抜) |
| 治療内容 | オフィスホワイトニング ※上の歯は被せもの |
| 治療の リスク |
知覚過敏 |
case 13.
治療前
治療後
| 主訴 | 歯の色が気になる |
|---|---|
| 治療期間 | 1時間 |
| 治療費 | 35,000円(税抜) |
| 治療内容 | オフィスホワイトニング |
| 治療の リスク |
知覚過敏 |

